台東区にある代田歯科医院の院内設備と安全対策
ホーム
|
歯科医師
|
診療システム
|
医院案内
|
アクセス
|
院内紹介
|
安全対策
|
安全対策
|
代田歯科医院ヒストリー
|
サイトマップ
虫歯/歯周病治療
入れ歯製作/修理
訪問歯科診療
小児歯科
歯の予防
マタニティケア
インプラント治療
審美治療
ホワイトニング
歯科口腔外科
治療費/医療費控除
【医院のアクセスマップ】
台東区寿3-7-10
TEL03-3841-2051
モバイル用QRコード
https://shirota-shika.com/i/
トップページ
>
院内紹介
代田歯科医院は、院内外のリノベーション(リニューアル)を約2ヵ月程度かけて行いました。 医院は2階にありますが、いままで階段のみだった通路を昇降機を設置して、老若男女を問わずご利用いただけるようにしました。
院内は診療ユニット3台を設置して、お子様でも楽しく通院いただけるような空間としています。
リラックスしながら、インプラント治療や歯周病などの専門的な治療でも安心・安全を提供できるようにしています。
【
診療室
】
【
診療室
】
【
エントランス
】
【
待合室
】
【
昇降機
】
【
2階の医院入口
】
院内の様々な機器類も最新式です
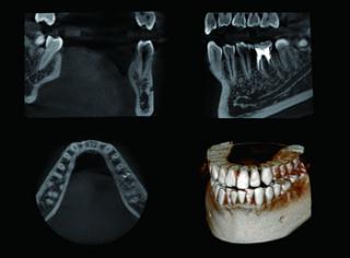
代田歯科医院は、2013年よりCTスキャン機能を備え、放射線量が少なく身体にも安全な最新のデジタル・レントゲンシステムを導入しています。
歯科用CTは、立体的なレントゲン画像を撮ることができ、放射線量も1/10と安心・安全な機械です。 またユニット前のモニターには、お待たせすることなくレントゲン画像が移され、口腔内カメラからの動画も見られます。
リラックスしながら治療が出来る、楽しい医院をめざしていきます。
【
CT・デジタルレントゲン
】
【
CT画像
】
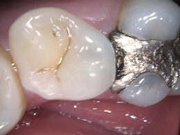
【
口腔内カメラ
】
【
口腔内カメラの画像
】
【
電動麻酔器アネジェクト
】⇒
無痛治療
【
電気メス
】