台東区にある代田歯科医院では入れ歯の製作や修理を行っています
ホーム
|
歯科医師
|
診療システム
|
医院案内
|
アクセス
|
院内紹介
|
安全対策
|
安全対策
|
代田歯科医院ヒストリー
|
サイトマップ
虫歯/歯周病治療
入れ歯製作/修理
訪問歯科診療
小児歯科
歯の予防
マタニティケア
インプラント治療
審美治療
ホワイトニング
歯科口腔外科
治療費/医療費控除
【医院のアクセスマップ】
台東区寿3-7-10
TEL03-3841-2051
モバイル用QRコード
https://shirota-shika.com/i/
トップページ
>
入れ歯製作/修理
日常生活の間で遭う歯を失うトラブルとしては、虫歯や歯周病あるいは事故などが考えられます。
万が一歯を失ったときには、機能を修復させる方法として「入れ歯」「ブリッジ」「インプラント」の3つが考えられます。
ブリッジは、お口の中に確実に固定させるという点では、入れ歯より格段に優れていますが、失った歯の本数や位置などによっては不可能なときもあります。
またインプラントは、自由診療(保険外診療)で高額ののために選択肢として入らない方もいらっしゃいます。
そのような場合には入れ歯による修復となります。
【自費←入れ歯の比較→保険】
ご自身に合う優れた入れ歯の条件は、
お口の中でピッタリとあってズレが発生しない
ことだけでなく、
見た目や顔の形が変わらない
ことなどが挙げられます。
当院では、入れ歯を作るための一つ一つの治療作業をおろそかにせず、治療に十分な時間をかけながら、何でも食べれて会話がスムーズにでき自然な口許に見える入れ歯治療と修理を行っています。
患者さんによって、お悩みやご希望は様々ですので、入れ歯を検討されている方や現在お持ちの入れ歯に違和感を感じている方は、お気軽にご相談ください。
費用による入れ歯の種類
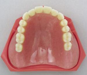
入れ歯は、必要最低限の機能性だけを備えた健康保険適応の「レジン床義歯(総義歯/部分義歯)」と、食べ物の食感を得られ違和感も少ないなどの機能性を高めるために、材質にこだわった「様々な入れ歯」の2つに大きく分けられます。
健康保険による入れ歯は治療費が安いことが最大のメリットですが、床(しょう)といわれる部分が強度を高めるために厚いなど審美性や機能性は劣ります。
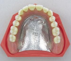
自費の入れ歯には「金属床義歯(総義歯/部分義歯)」「ソフトデンチャー」「コンフォート」などの新しい素材や技術を使い、機能性が高く歯ぐきにもピッタリとフィットするようになってきています。
【レジン義歯(保険適応)】
【金属床義歯(自費)】
【部分義歯(保険適応)】
入れ歯の費用(税込:概算)
名 称
保険の入れ歯
保険の入れ歯
金属床
ソフトデンチャー
コンフォート義歯
画 像
費用
\5,000〜\10,000
(1個)
\10,000〜
(片顎1個)
\300,000〜\450,000
(部分〜総義歯)
\155,000〜\420,000
(片顎1個)
\400,000〜
(片顎1個)
特徴
健康保険で決められた材料に限定
健康保険で決められた材料に限定
チタンをはじめ最新材料で製作
正面からの見た目の良い入れ歯
生体シリコンを裏打ちしフィット感がよい
柔らかい入れ歯/痛く無い入れ歯
【
ソフトデンチャー
】
金属のバネのない入れ歯(義歯)がソフトデンチャーです。
素材に軟性樹脂(シリコン状の素材やナイロン樹脂)を使用しているため、歯ぐきに加わる負担を軽減させ痛みを感じません。
接触面が軟らかいため、吸着力も良く、顎(アゴ)がなくて入れ歯が動きやすい方にも喜ばれます。
しっかりと歯ぐきにフィットするので、顎骨が痩せていくのを防ぎます。
【
コンフォート
】
コンフォートは、硬い入れ歯の裏面を生体用シリコーンというクッションで覆う、全く新しい入れ歯の技術です。
生体用シリコーンの弾性が、入れ歯でグッと噛んだときの歯ぐきにかかる負担をやわらげ、驚くほどの吸着力を発揮。
「痛い・噛めない・外れやすい」といった、従来の入れ歯の悩みを解消するとともに、あなたの歯ぐきをやさしく守ります。